Hlavnička u skotu – case report | Vetweb.cz – veterinární zpravodajství
Před 7 minutami
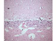
Bezděková Z. Hlavnička u skotu – case report. Veterinářství 2026;76(1):29-32. SOUHRNČlánek popisuje klinický případ výskytu hlavničky u červenostrakatého skotu. Hlavnička skotu nebo také maligní katarální horečka se vyskytuje po celém světě a v České republice jsou spíše raritní záchyty. Kazuistika se týká plemene červenostrakatého skotu. Klinické příznaky byly nespecifické a…






















































































