Zavřít

ZdravéStravování

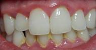
Žloutnutí zubů je často následkem běžných chyb. Mezi příčiny patří i kouření a špatná hygiena

Před 1 rokem
Žluté zuby mohou být pro mnoho lidí zdrojem frustrace a studu. Příčiny tohoto problému mohou být různé.
 Komentáře
Reklama