Naučte se odstranit zubní plak a kámen přírodní cestou v pohodlí domova. Zuby vám za to poděkují
Před 5 roky
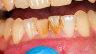
Pokud chcete mít pěkné zuby a neutrácet kvůli tomu tisíce za odstraňování zubního kamene a bělení zubů, přinášíme vám několik rad, jak odstranit zubní plak a docílit krásných a zdravých zubů i v pohodlí svého domova.

