Mozek po mrtvici? Vědci objevili mechanismus přeprogramování, který pomáhá zotavení
Před 3 hodinami
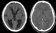
Lidský mozek disponuje neuvěřitelnou schopností přežít. Mezinárodní tým vědců z projektu ENIGMA odhalil, že po těžké mrtvici dokáže nepoškozená polovina mozku doslova „omládnout“, aby kompenzovala ztracené funkce.



































































































